• La piattaforma consente una stampa rapida e riproducibile per un’ampia gamma di applicazioni ed è convalidata dai principali ospedali e produttori di dispositivi in tutto il mondo. Ulteriori vantaggi della stampante 3D EXT 220 MED includono:

    • Ottimizzata per il funzionamento in camere bianche
    • Riscaldamento della camera di costruzione completamente controllabile
    • Convalidata per soddisfare gli standard ASTM F2026
    • Eccellente precisione grazie alla cinematica delta
    • Il flusso d’aria laminare consente una distribuzione omogenea della temperatura
    • Gestione adattativa della temperatura locale
  • EXT 220 MED Video 2

    Guarda il video per una rapida introduzione alla stampante EXT 220 MED.

La FDA autorizza il primo impianto cranico in PEEK stampato in 3D

Scopri l’impianto cranico VSP® PEEK. Questa soluzione specifica per il paziente offre un adattamento preciso e prestazioni affidabili per le procedure di cranioplastica volte a ripristinare i difetti del cranio. Scopri come la stampante EXT 220 MED ha reso possibile questa innovazione.

  • Riscaldamento della camera di costruzione completamente controllabile

    Riscaldare fino a 250 gradi Celsius, evitare la deformazione del dispositivo, aumentare l’adesione dello strato e adattare la temperatura della camera di costruzione a polimeri specifici

  • Il flusso d’aria laminare consente una distribuzione omogenea della temperatura

    Garantisce la riproducibilità senza gradienti di temperatura all’interno della parte da costruire

  • Gestione adattativa della temperatura locale

    Regola il raffreddamento locale per ogni filamento e strato individualmente, riscalda per aumentare ulteriormente l’adesione degli strati, riduce la necessità di post-elaborazione e semplifica la rimozione delle strutture di supporto

  • Ottimizzata per il funzionamento in camere bianche

    • Integra la piattaforma EXT 220 MED negli ambienti di produzione medica standard
    • Ottieni assistenza per superare i processi di qualificazione medica (IQ, OQ, PQ)
    • Utilizza la cappa aspirante per collegare la stampante allo scarico dell’aria della camera bianca
  • Include un sistema di filtraggio

    • Tiene lontane le particelle e previene la contaminazione
    • Soddisfa i requisiti di camera bianca ISO classe 7 secondo la norma UNI EN ISO 14644
  • È dotata di un avanzato sistema di prevenzione della contaminazione

    • Elimina il rischio di contaminazione del filamento e delle parti finali
    • Semplifica la pulizia e la manutenzione con un design intelligente, come le cerniere touch-to-open

Applicazione esemplificativa

La stampante EXT 220 MED utilizza la tecnologia di estrusione a base di filamenti per consentire la stampa 3D di impianti e strumenti utilizzando polimeri ad alte prestazioni, tra cui PEEKe Radel® PPSU. È l’unica piattaforma con una camera bianca integrata e controlli della temperatura per consentire la produzione di dispositivi di alta qualità.

Stampante 3D EXT 220 MED
EXT 220 MED 3D Printer front view
EXT 220 MED 3D Printer right view
Stampante 3D EXT 220 MED
EXT 220 MED 3D Printer front view
EXT 220 MED 3D Printer right view

Applicazioni esemplificative

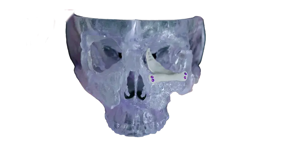
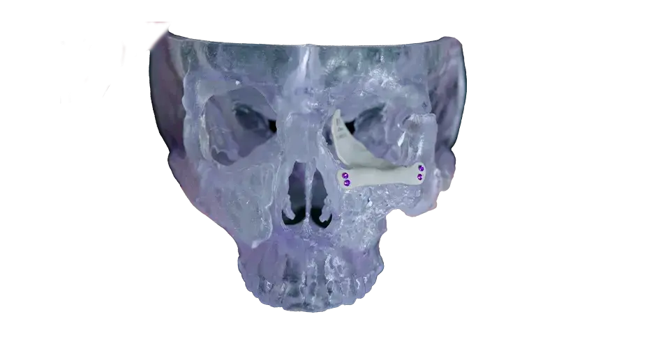
  • Impianto cranico stampato in 3D

    Impianti cranio-maxillo-facciali

    Materiale: PEEK
    Le placche craniche e orbitali specifiche per il paziente vengono stampate in 3D utilizzando un flusso di lavoro completo dalla progettazione alla consegna. Il tempo di produzione è di soli due giorni dalla scansione all’intervento chirurgico.

  • Gabbia spinale in PEEK stampata in 3D

    Dispositivi di fusione intersomatica

    Materiale: PEEK BCP
    Il PEEK riempito con BCP o HA, combinato con strutture reticolari integrate, ha lo scopo di supportare l’adesione e la proliferazione cellulare.

  • Impianti facciali

    Impianti facciali

    Materiale: PEEK
    Dispositivi specifici per il paziente compatibili con i sistemi di fissazione standard. Stampati nel giro di 30-60 minuti.

  • Impianti per pavimento orbitale

    Materiale: PEEK miscelato a solfato di bario
    3 Il miglioramento del PEEK con solfato di bario garantisce la visibilità nella tecnologia di imaging.  

  • Documenti
  • Risorse

Sei interessato ad acquistare questa stampante?

Acconsento a ricevere comunicazioni da parte di 3D Systems
Desideri ricevere offerte speciali, aggiornamenti sui prodotti e informazioni su eventi da parte di 3D Systems? Facendo clic su “Sì” accetti di ricevere comunicazioni da parte di 3D Systems o dei nostri partner. Il consenso a ricevere le comunicazioni può essere revocato in qualsiasi momento. Fai clic qui per visualizzare la nostra Informativa sulla privacy o qui per gestire le tue preferenze.
CAPTCHA
Questa domanda serve per verificare se sei o meno un visitatore umano e per impedire l'invio automatico di spam.